뇌출혈이란 뇌혈관 벽의 약한 부분이 터져 출혈이 생김으로써 발생하는 뇌혈관 장애를 의미합니다. 두개골 내의 출혈에 한해서 뇌일혈이라고도 합니다. 지금부터 뇌출혈 초기 증상과 전조 증상 원인 진단 치료 그리고 후유증에 대해서 알아보겠습니다.

뇌출혈 원인
고혈압의 영향
대다수의 뇌출혈은 고혈압으로 인해 발생합니다. 고혈압이 오랜 기간 지속될 때 뇌 내의 혈관들은 약해질 수 있습니다. 이 약해진 혈관이 과도한 스트레스나 긴장으로 인해 급격히 혈압이 상승하면, 그 약점이 터져 뇌출혈이 발생하게 됩니다.


당뇨 및 고지혈증 환자의 위험성
당뇨나 고지혈증과 같은 다른 질환을 가진 환자들은 뇌출혈의 위험이 더 높습니다. 이러한 질환은 혈관을 약하게 만들어, 뇌출혈을 유발할 수 있는 주요 원인 중 하나입니다.
뇌동맥류의 파열
혈관의 구조적 문제도 뇌출혈의 원인이 될 수 있습니다. 뇌동맥류가 있는 사람들은 이 동맥류가 파열될 위험이 있습니다. 파열될 경우 뇌의 특정 부분에 출혈이 발생하게 됩니다.
뇌동정맥 기형에 대한 이해
뇌동정맥 기형은 뇌출혈을 유발하는 또 다른 원인입니다. 이는 뇌의 혈관이 비정상적으로 연결되어 있어 출혈이 쉽게 발생하는 상태를 말합니다.
소아의 뇌출혈 원인
소아도 뇌출혈이 발생할 수 있습니다. 이는 모야모야병과 같은 특별한 질환 때문일 수 있습니다.
혈액 질환과 뇌출혈
백혈병, 재생불량성 빈혈 등의 혈액 질환 역시 뇌출혈의 원인이 될 수 있습니다. 이런 경우 혈액의 응집 능력이 약해져 출혈이 쉽게 일어나게 됩니다.
외부 충격 및 기타 질환에 의한 원인
교통 사고 등 외부에서의 강한 충격이나 머리에 다친 경우, 뇌출혈이 발생할 수 있습니다. 뿐만 아니라, 매독과 같은 기타 질환으로 인해 뇌출혈이 발생하는 경우도 있습니다.
뇌출혈 초기 증상과 전조 증상
한쪽 팔, 다리의 무력감
갑자기 한쪽 팔이나 다리에 힘이 빠질 수 있습니다. 이것은 뇌의 특정 부분에 혈류가 차단되었음을 암시합니다. 특히 몸의 한 부분이나 얼굴 부위에 갑작스러운 마비나 힘 빠짐을 느낄 수 있습니다.
감각의 변화
손 끝이나 발끝 같은 부위에서 감각의 변화나 둔화를 체감할 수 있습니다

발음의 변화 또는 말하기 어려움
말을 구사하는데 어려움을 겪거나 갑작스럽게 말을 하지 못하게 되거나 말을 이해하지 못할 수 있습니다.
시야의 감소
갑자기 눈앞이 흐릿해지거나 한쪽 시야가 가려지는 현상을 경험할 수 있습니다. 마치 커튼을 내린 것과 같은 느낌이 들 때도 있습니다.
균형 잃음
몸의 균형을 잡는 것이 어렵다는 느낌을 받거나, 몸이 한쪽으로 치우치는 듯한 느낌을 받을 수 있습니다.

강한 두통
특별한 이유 없이 머리가 매우 아프게 느껴질 때가 있습니다. 이러한 두통은 평소와는 달리 강렬한 통증을 동반합니다.

의식 손실
갑자기 의식을 잃거나 정신이 불투명해질 수 있습니다.
기분의 불안정
갑작스럽게 세상이 돌아가는 듯한 어지러움을 느낄 수 있으며, 그로 인해 서 있기도 어렵습니다.
위의 증상들이 일시적으로 나타났다 사라질 수 있습니다. 하지만 이는 그저 잠깐의 현상일 뿐, 뇌졸중의 위험이 다시 올 수 있음을 의미합니다. 이러한 경우에도 전문의의 도움을 받아야 합니다.
뇌출혈이 발생하면 그 결과는 출혈 지점에 따라 다릅니다. 표면적인 출혈은 치료 반응이 좋지만, 심층부에 출혈이 확산되면 다양한 장애의 위험이 증가합니다. 이로 인해 움직임에 어려움을 겪거나 언어, 의식 장애 등의 문제가 발생할 수 있습니다.
전조 증상 거의 없는 뇌출혈, 고혈압으로 80% 발생▶
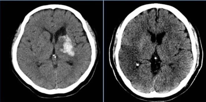
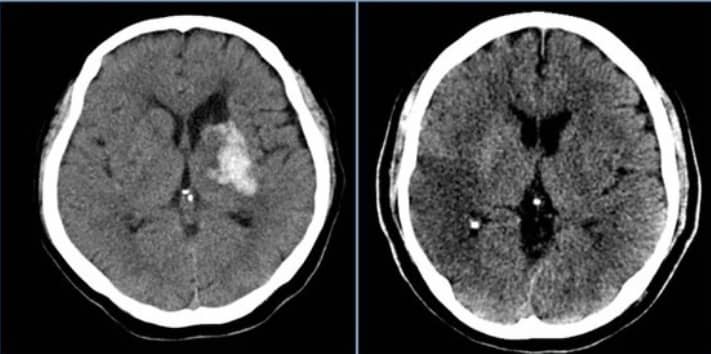
뇌출혈 진단
뇌 내에서의 출혈 여부를 파악하기 위해 컴퓨터 단층 촬영기(CT) 또는 자기공명영상진단(MRI)과 같은 고급 진단 기술이 사용됩니다. 특히, 지주막하에 출혈이 의심될 때에는 뇌혈관의 조영 검사를 통해 문제가 되는 동맥류를 정밀하게 파악하게 됩니다.


뇌출혈 치료
뇌출혈 시 상황에 따라 적절한 치료가 필요합니다. 먼저, 환자는 절대적인 휴식을 필요로 합니다. 부종을 감소시키기 위한 약물로 포도당, 덱사메타존, 만니톨 등이 투여될 수 있으며, 뇌의 순환을 개선하고 출혈을 억제하는 약물도 병행하여 사용됩니다.


고혈압이 원인으로 인한 뇌출혈일 때, 혈종이 작고 증상이 덜하다면 주로 약물 치료로 대응합니다. 하지만 혈종이 크고 환자에게 마비 같은 증상이 나타나면 머리에 작은 구멍을 뚫어 혈종을 제거하는 수술적 치료가 필요할 수 있습니다.
큰 혈종이나 뇌의 부풀림이 심할 때는 즉시 혈종을 제거하기 위한 긴급 수술이 진행되어야 합니다. 그렇지 않으면 높은 뇌압으로 인해 생명 위험이 증가합니다. 아쉽게도 이러한 경우에는 수술 후에도 환자의 상태가 빠르게 호전되지 않을 수 있습니다.
또한, 뇌동정맥 기형을 가진 환자의 경우, 출혈의 위험을 줄이기 위해 색전술이나 감마나이프와 같은 방사선 치료를 받기도 합니다
뇌출혈 후유증
뇌출혈 후의 주요 후유증에는 두통, 통증, 언어 장애, 운동 장애 등이 있습니다.
그 중에서도 많은 환자들이 통증을 주요 증상으로 호소하며, 이 통증은 뇌손상의 위치와 크기에 따라 다양하게 나타납니다.
또한, 언어 장애나 운동 장애 등도 후유증 중 하나로, 일상생활에 큰 불편을 초래할 수 있습니다.

뇌출혈은 예방과 초기 대응이 생명을 구하는 열쇠가 됩니다. 뇌의 손상 위치와 정도에 따라 다양한 후유증이 발생할 수 있으므로, 적절한 관리와 치료가 필요합니다. 특히 고혈압과 같은 기존 질환을 관리함으로써 뇌출혈의 위험을 줄일 수 있습니다. 우리 모두가 건강한 뇌를 위해 지속적으로 주의하고 관리하는 습관을 기르는 것이 중요합니다.
자주 하는 질문
뇌출혈의 주요 원인은 무엇인가요?
뇌출혈의 주요 원인은 고혈압입니다. 지속적인 고혈압 상태에서 작은 뇌혈관이 터지면서 발생할 수 있습니다. 그 외에도 뇌동맥류, 지주막하출혈, 교통사고, 혈액의 응고 장애, 약물 부작용 등 여러 원인이 있을 수 있습니다.
뇌출혈이 발생하면 초기 대처 방법은 어떻게 되나요?
뇌출혈 의심 시 증상이 발생하면 즉시 119나 응급실로 연락해야 합니다. 환자는 절대 안정을 유지하고 추가적인 부상이나 떨어짐을 피하기 위해 움직이지 않도록 해야 합니다. 빠른 시간 내에 병원에서 진단과 치료를 받는 것이 중요합니다.
뇌동맥류와 지주막하 뇌출혈 간의 차이점은 무엇인가요?
뇌동맥류는 뇌의 동맥이 비정상적으로 확장되어 풍선처럼 부풀어 오르는 상태를 말하며, 이 확장된 부분이 터지면 뇌출혈이 발생할 수 있습니다. 반면, 지주막하 뇌출혈은 뇌와 뇌막 사이의 공간인 지주막하 공간에서 혈관이 터져 발생하는 출혈을 말합니다.
뇌출혈 후 나타나는 후유증은 어떤 것들이 있나요?
뇌출혈 후 나타나는 후유증은 뇌의 손상 위치와 정도에 따라 다양합니다. 후유증으로는 반신불수, 손발 저림, 시야장애, 마비, 두통 등이 있을 수 있습니다. 통증, 언어장애, 신경기능 이상과 같은 증상도 발생할 수 있습니다.
뇌출혈로 인한 통증을 관리하려면 어떻게 해야 하나요?
뇌출혈로 인한 통증은 전문적인 치료 및 관리가 필요합니다. 의사와 상의하여 적절한 진통제를 처방받을 수 있으며, 물리치료나 작업치료와 같은 재활치료도 도움이 될 수 있습니다. 지속적인 통증이나 증상이 있을 경우 전문의와의 상담이 필요합니다.
'건강' 카테고리의 다른 글
| 뇌경색 전조 증상 치료 좋은 음식 후유증 (138) | 2023.09.18 |
|---|---|
| 우울증 테스트 및 증상 치료 원인 (126) | 2023.09.16 |
| 위염 증상 치료 약 추천 (92) | 2023.09.06 |
| 조현병 초기 증상 원인 완치까지 (65) | 2023.09.05 |
| 코로나 4급 전환 마스크 착용 (12) | 2023.09.05 |