오늘은 우리 모두에게 중요한 건강 이슈, '뇌경색'에 대해 이야기하려고 합니다. 뇌경색은 전 세계적으로 수많은 사람들이 직면하는 심각한 건강 문제로, 갑작스럽게 찾아와 생명을 위협할 수 있습니다. 하지만 우리가 뇌경색의 원인과 증상을 알고, 적절한 대응 방법을 안다면 그 위험성을 크게 줄일 수 있습니다.

뇌경색이란?
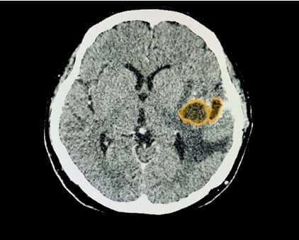
뇌경색은 뇌의 혈류가 일시적으로나 영구적으로 차단되어 뇌세포가 죽는 상태를 말합니다. 이로 인해 신체의 일부나 전체에 마비 증상이 발생하거나 언어장애, 시력 문제 등 다양한 신경학적 증상이 나타납니다.

뇌경색 종류는 크게 3가지가 있습니다.
뇌혈전증 (혈전성 뇌경색)
동맥경화증이 생겨 손상된 뇌혈관에 피떡이 생기면서 혈관이 좁아져서 막히는 경우입니다. 수도관에 녹이 스는 경우라고 생각하시면 됩니다.
뇌색전증 (색전성 뇌경색)
심장 또는 목의 큰 동맥에서 생긴 피떡이 떨어져나가 혈류를 타고 흘러가서 멀리 떨어져 있는 뇌혈관을 막아 생기는 뇌경색입니다.
열공성 뇌경색
뇌의 아주 작은 혈관이 막히는 경우 생기는 뇌경색입니다.
뇌경색 전조 증상
갑작스런 균형 장애
갑자기 걷는 것이 어려워지거나 비틀거리는 등의 증상이 있을 수 있습니다.
얼굴의 마비 혹은 느슨해짐
환자가 웃을 때 한쪽 입술이 내려가거나, 한쪽 눈꺼풀이 처지는 등의 증상이 나타납니다.
팔 또는 다리의 약화 혹은 마비
특히 몸의 한쪽 부분에 강도가 약해지거나 제대로 움직이지 않을 수 있습니다.
갑작스러운 언어 이해 또는 언어 문제
말을 하는데 어려움을 겪거나, 타인의 말을 이해하지 못하게 됩니다.
시력 장애
한쪽 또는 양쪽 시야에서 갑작스러운 시력 손실이 발생할 수 있습니다.
갑작스러운 심한 두통
설명할 수 없는 심한 두통이 발생하며, 특별한 이유 없이 나타납니다.

혼돈 혹은 정신 상태 변화
갑작스러운 혼란, 우울증, 기억 상실 등도 전조 증상일 수 있습니다.
위와 같은 증상들 중 하나라도 경험한다면 즉시 의료 서비스를 받아야 합니다.
FAST 체크리스트를 활용하여 가능한 뇌경색 여부를 판단하는 것도 도움 됩니다.
뇌경색 치료
혈전용해제 사용
주로 혈전용해제가 사용됩니다. 혈전용해제는 가능한 한 빨리 투여되어야 효과적이며, 일반적으로 증상 발생 후 3-4시간 이내에 투여되어야 합니다.

진단 검사
대상을 정확하게 파악하기 위해 컴퓨터 단층 촬영(CT)이나 자기 공명 영상(MRI) 등의 진단 검사를 실시합니다.

재활치료
뇌경색 후 생긴 신체적, 인지적 손상을 회복하기 위해 재활치료가 필요합니다. 재활치료는 신체 기능, 언어 기능, 인지 기능 등 여러 분야에서 진행될 수 있습니다.
예방약물
뇌경색 재발을 예방하기 위해서는 혈액 항응고제 약물을 복용할 수 있습니다.
생활 습관 개선
흡연 중단, 건강한 식사습관 유지, 규칙적인 운동 등도 중요합니다.
수술 통한 치료
상황에 따라서는 혈관 내 성형술(angioplasty), 스텐트 삽입처럼 혀란을 제거하거나 협착된 동맥을 확장하는 수술통한 치료가 필요할 수도 있습니다.
뇌경색에 좋은 음식
오메가 3 지방산이 많은 생선
꽁치, 고등어, 연어, 참치 등의 지방 함량이 높은 생선에는 오메가-3 지방산이 풍부하게 들어있습니다. 이는 심장 및 뇌 건강에 좋습니다.
견과류와 씨앗
견과류와 씨앗들은 오메가-3 지방산과 단백질, 항산화제 등 여러 가지 건강에 좋은 영양소를 제공합니다. 아몬드, 호두, 치아시드, 플랙스시드 등을 선택할 수 있습니다.

통곡류
통곡류는 식이 섬유가 풍부하여 혈압 조절에 도움을 줍니다. 보리, 귀리, 퀴노아 등의 곡물을 섭취하세요.
다크 초콜릿
다크 초콜릿은 항산화제인 플라보노이드가 많아서 혈압 감소와 혈관 기능 개선에 도움을 줍니다.
베리류
베리류(딸기, 블루베리 등)는 항산화제와 비타민 C가 많으며 심장 및 뇌 건강에 좋습니다.
녹차
녹차는 항산화제인 카테킨을 함유하고 있어서 혈관 기능 개선효과가 있습니다.
야채와 과일
야채와 과일도 다양한 비타민과 필수 영양소를 제공합니다.

청정 단백질 출처
가금류나 생선 그리고 콩 팥 같은 청정한 단백질 출처도 추천합니다.
알코올 섭취를 줄이고 소금 사용량을 줄이는 것이 중요합니다. 또한, 정기적인 운동과 충분한 수면, 스트레스 관리 등도 뇌건강에 도움을 줍니다.
뇌경색 예방
운동
꾸준한 운동은 혈액 순환을 돕고, 고혈압, 비만, 당뇨병 등 뇌졸중의 위험 요인을 줄여줍니다. 일주일에 150분 이상의 중등도 신체 활동 또는 75분 이상의 고강도 신체 활동을 추천합니다.
금연
흡연은 뇌졸중의 주요 위험 요인 중 하나입니다. 담배에 들어있는 화학 물질들이 혈관을 수축시키고 혈전(혈관을 막는 응고된 혈액) 생성을 촉진시킵니다.

음주 조절
과도한 음주는 고혈압과 간 질환 등 여러 건강 문제를 유발할 수 있습니다. 알코올 섭취는 적당량으로 제한하되 가능하다면 아예 피하는 것이 좋습니다.
스트레스 관리
스트레스는 혈압 상승과 같은 심혈관 질환의 위험 요인을 증가시킬 수 있습니다. 따라서 스트레스를 잘 관리하는 것이 중요하며, 이를 위해 명상, 요가등 다양한 방법들이 있습니다.
정기적인 건강 검진
고혈압, 당뇨병 등 뇌졸중의 위험 요인들은 초기에 증상이 나타나지 않기 때문에 정기적인 건강인 검진으로 이를 조기 발견하는 것이 중요합니다.
충분한 수면
충분하지 않은 수면은 대사증후군과 심혈관 질환의 위험이 증가됩니다.
건강인 식사 및 체중 관리
균형인 식사와 체중 관리 역시 중요합니다.
이 중에서도 특히 운동, 금연, 음주 조절은 심혈관 짖증의 주요 위험 요인을 감소시키는데 큰 역할을 합니다.
뇌건강에 도움 되는 운동
유산소 운동
심장 박동수를 증가시켜 혈액 순환을 개선하고, 산소와 영양분을 뇌로 보내는 역할을 합니다. 이에는 걷기, 달리기, 수영, 자전거 타기 등이 포함됩니다.
스트레칭
스트레칭은 근육과 인대를 이완시키고 혈류를 증가시킵니다. 이는 뇌로의 혈류를 개선하며 스트레스 해소에도 도움이 됩니다.
균형 운동
요가나 필라테스 같은 균형 운동은 몸의 중심을 잡아주고, 전신의 근력과 유연성을 향상합니다. 이러한 운동들은 명상적인 요소를 포함하므로 스트레스 해소와 집중력 향상에도 도움이 됩니다.
강도 높은 운동
고강도 간격 운동은 심장 및 폐 기능을 개선하며 대사 활성화와 체중 관리에 도움이 됩니다.
체조
체조나 춤 등의 활동들은 좌우 대뇌반구 활성화를 동시에 할 수 있어서 두뇌 기능 개선효과가 있습니다.
뇌경색 후유증
뇌경색의 후유증은 뇌의 손상된 부위와 그 정도에 따라 다양하게 나타납니다. 주요한 후유증들로는 편마비, 안면마비, 연하장애, 언어장애 등이 있습니다.

편마비
뇌의 한쪽 부분에 손상이 생겨 반대쪽 몸의 근력이 약해지는 현상을 말합니다.
안면마비
안면신경에 문제가 생겨 얼굴 근육에 마비 증상이 나타나는 상태를 의미합니다.
연하장애
음식물을 삼키는 과정에서 어려움을 겪게 되는 증상입니다.
언어장애
말을 더듬거나 원하는 단어를 찾지 못하는 등의 언어 사용에 문제가 발생하는 상태를 가리킵니다.
편마비의 경우 좌우 대뇌피질 중 어느 쪽이 손상되었느냐에 따라 그 증상이 달라집니다.
좌측편마비는 오른쪽 대뇌피질이 손상되었을 때 발생합니다. 오른쪽 뇌반구가 주로 논리적 사고와 정보 처리를 담당하기 때문에 공간 인식능력 저하와 같은 문제가 나타납니다.
우측편마비는 왼쪽 대뇌피질이 손상되었을 때 발생합니다. 왼쪽 뇌반구가 감정과 언어, 기억 등을 관리하기 때문에 이러한 기능들에서 문제가 생깁니다. 예를 들면 반응속도 저하나 맥락 파악 능력 저하 등입니다.
그러므로 편마비 치료에서 중요한 것은 지속적인 재활 운동과 함께 신경 자극 활동입니다. 이를 통해 기능 회복 가능성을 최대화할 수 있습니다.
뇌경색 재활치료
개인화된 운동 프로그램
각 환자의 상태와 능력은 다르므로, 개인에 맞는 운동 프로그램을 만드는 것이 중요합니다. 이를 위해 전문적인 재활 팀과 함께 작업하는 것이 좋습니다.

조급해하지 않기
회복 과정은 개개인마다 다르며, 종종 시간이 오래 걸립니다. 너무 조급해하지 않고 인내심을 가지고 꾸준히 운동을 해야 합니다.
안전 확인
불안정한 상태에서의 낙상 등 부상을 방지하기 위해서는 안전한 환경에서 운동하는 것이 중요합니다.
적절한 강도와 휴식
너무 과도하게 운동하면 근육 부상 등 다른 건강 문제를 일으킬 수 있습니다. 반대로, 너무 쉬어가며 하는 경우에는 원하는 결과를 얻기 어렵습니다. 적절한 강도로 운동하고 충분히 휴식을 취하는 것이 중요합니다.
균형 잡힌 식사와 수분 섭취
영양소가 풍부한 식사와 충분한 수분 섭취는 근육 회복과 에너지 공급에 도움이 됩니다.
일관성 유지
일관성 있는 연습은 뇌의 새로운 경로를 형성하고 기능 회복에 도움을 줍니다.
재활운동은 단기간에 큰 변화를 가져오지 않습니다. 그러나 지속적으로 실행할 경우 점차적으로 개선되며, 이것이 바로 장기적인 회복에 결정적입니다.
뇌경색 보험
보험사마다 상품, 그리고 계약 조건에 따라 보장 범위와 내용이 다를 수 있습니다.
실비보험은 병원비, 수술비, 입원비 등 실제로 발생한 의료비를 보상해 주는 제도입니다. 뇌경색으로 인한 치료에 필요한 비용들이 이에 해당하므로 일반적으로 실비보험이 적용됩니다. 그러나 각 보험이 정의하는 질병의 범위, 기간 등 세부적인 사항들은 상이하므로 계약 전에 자세하게 확인해야 합니다.
예를 들어, 뇌경색의 원인이 되는 질환(고혈압 등)을 이미 앓고 있는 경우, 이전 질환과 관련된 뇌경색은 특정 보험에서 제외될 수 있습니다. 따라서 자신의 건강 상태와 필요성을 고려하여 가장 적절한 보험 상품을 선택하는 것이 중요합니다. 필요할 경우 전문가의 도움을 받아서도 좋습니다.

앞서 다룬 내용들을 통해 가장 중요한 것은 이러한 정보를 바탕으로 초기 증상을 인식하고 신속하게 응급조치를 취하는 것입니다. 또한 건강한 생활 습관을 유지함으로써 뇌경색의 발생 가능성을 줄일 수 있음도 잊지 말아야 합니다. 우리 모두가 자신의 건강에 주의를 기울이며, 필요할 때는 의료 전문가와 상담하는 등 행동하는 것이 중요합니다.
자주 하는 질문
뇌경색 원인이 무엇인가요?
뇌경색은 주로 혈관이 막혀서 특정 부위의 뇌세포에 산소와 영양분을 공급하지 못할 때 발생합니다. 이러한 상황은 혈전(혈관을 막는 피의 굳은 덩어리) 형성, 동맥 경화증, 고혈압 등 다양한 요인으로 인해 발생할 수 있습니다.
뇌경색 초기 증상은 어떤 것들이 있나요?
초기 증상으로는 갑작스러운 균형 장애, 얼굴 마비, 팔이나 다리의 약화, 언어 이해 및 발화 문제, 시력 장애 등이 있습니다.
만일 가까운 사람이 뇌경색 증상을 보일 경우 어떻게 해야 하나요?
만일 뇌경색 증상을 보일 경우 가장 중요한 것은 신속하게 의료 서비스를 받는 것입니다. 가능하다면 911과 같은 응급 서비스를 호출하고 환자가 안정적인 상태를 유지할 수 있도록 도와주어야 합니다. 자극을 주는 행동은 좋지 않습니다.
생활 습관을 개선함으로써 뇌경색을 예방할 수 있나요?
건강한 생활 습관은 뇌경색 예방에 큰 도움이 됩니다. 특히 흡연 중단, 규칙적인 운동 및 건강한 식사습관 유지 등은 중요합니다.
완전히 회복되려면 얼마나 걸리나요?
이것은 각 환자마다 다릅니다. 일부 환자는 몇 주 내로 대부분 회복되지만, 다른 사람들에게는 몇 달 혹은 그 이상 시간이 필요할 수 있습니다. 일부 경우에는 완전한 회복이 어려울 수도 있습니다. 이는 뇌손상의 정도와 위치, 그리고 각 개인의 건강 상태에 따라 달라집니다.
'건강' 카테고리의 다른 글
| 허혈성 대장염 이제훈 수술 (43) | 2023.10.03 |
|---|---|
| 화상 응급처치 연고 병원 추천 (94) | 2023.09.21 |
| 우울증 테스트 및 증상 치료 원인 (126) | 2023.09.16 |
| 뇌출혈 전조 증상 초기 증상 & 후유증 (169) | 2023.09.07 |
| 위염 증상 치료 약 추천 (92) | 2023.09.06 |