폐렴이라는 단어를 들으면 어떤 생각이 드나요? 아마도 많은 사람들에게는 가벼운 감기와 비슷한 질병으로 인식될 것입니다. 그러나 폐렴은 그렇지 않습니다. 그것은 실제로 매우 심각한 호흡기 질환입니다.

폐렴 정의
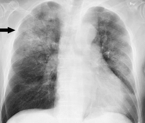
폐렴은 세균, 바이러스, 곰팡이 등 다양한 미생물에 의해 폐에 염증이 발생하는 질환입니다. 이 질환은 기본적으로 폐의 공기주머니에 생긴 염증을 중심으로 발생합니다.

폐렴 증상
폐렴은 폐의 염증을 동반하는 질병으로, 이에 따라 다양한 임상 증상이 발생합니다. 대표적으로 호흡 곤란, 기침 및 가래의 증가가 관찰됩니다. 특히, 가래의 색상 변화, 예를 들어 노란색 또는 뿌옇게 보이는 경우는 주의가 필요합니다.
체온 상승 및 오한과 같은 전신 증상이 동반될 수 있습니다. 그러나 모든 환자가 뚜렷한 증상을 보이는 것은 아니며, 일부 환자는 상대적으로 경미한 증상을 경험할 수 있습니다. 때로는 설사, 두통, 피로감과 같은 증상도 관찰됩니다.


폐렴 치료
폐렴 치료는 주로 항생제를 이용하며, 원인균에 따라 다르게 접근해야 합니다.
항생제 치료
항생제는 주로 세균성 폐렴을 치료하는 데 사용됩니다. 항생제는 주로 세균성 폐렴의 치료에 활용되며, 특정한 원인균을 파악하기 전에는 보통 경험적으로 널리 효과적인 항생제를 처방합니다. 그 후 원인균이 확인되면, 그에 특화된 항생제로 치료 방법을 수정할 수 있습니다.
바이러스에 의한 폐렴의 경우 초기에는 항바이러스제가 효과적일 수 있으나, 발병 후 일정 시간이 지난 경우에는 그 효과가 떨어질 수 있습니다. 약물 내성이 발생하지 않은 경우, 일반적으로 항생제 치료 기간은 약 2주 정도입니다


중증 환자 치료
중증 환자의 경우 산소포화도가 떨어지거나 숨쉬기 힘들면 중환자실에서 인공호흡기를 사용해야 할 수도 있습니다.



폐렴 초기 증상
폐렴의 초기 증상은 감기와 유사하여 인식하기 어려울 수 있습니다. 그러나 폐렴은 치사율이 높은 질병이므로 초기 발견과 신속한 치료가 필요합니다.
폐렴 초기 증상 특징
많은 사람들이 폐렴의 초기 증상을 단순한 감기로 착각하기도 합니다. 그러나 폐렴은 단순한 호흡기 증상 외에도 고열, 두통, 근육통, 관절통과 같은 전신 증상을 동반할 수 있습니다. 더욱이, 흉막이라는 폐를 둘러싸고 있는 막까지 염증이 확산될 경우 숨 쉬는 동안 통증을 경험하게 되며, 드물게 구토나 설사와 같은 소화기계 증상이 발생할 수도 있습니다.
폐렴의 치사율은 상당히 높기 때문에 증상 발현 초기에 적절한 진단과 치료가 중요하게 여겨집니다.

폐렴은 우리가 생각하는 것보다 더 심각한 질병입니다. 초기 증상을 정확하게 파악하고 적절한 치료를 받는 것이 중요합니다.
"접종 받고, 폐렴 걱정 끝!"
자주 하는 질문
폐렴과 감기의 차이는 무엇인가요?
폐렴은 세균이나 바이러스에 의한 폐의 염증을 의미하며, 치사율이 높은 질병입니다. 감기는 보다 경미한 증상을 가진 바이러스성 질병입니다.
폐렴의 초기 증상은 무엇인가요?
초기 증상에는 기침, 가래, 발열 등이 포함됩니다. 그러나 감기와 유사하여 쉽게 구분하기 어려울 수 있습니다.
항생제는 어떻게 폐렴을 치료하는데 도움을 주나요?
항생제는 폐렴의 원인균을 죽이거나 성장을 억제하는 데 도움을 줍니다.
폐렴의 가장 큰 위험은 무엇인가요?
폐렴의 가장 큰 위험은 합병증이나 약물 내성 균에 의한 재발이며, 이로 인해 치사율이 높아질 수 있습니다.
'건강' 카테고리의 다른 글
| 고혈압 낮추는 법 및 치료 (43) | 2023.08.23 |
|---|---|
| 모야모야병 증상 및 기본 정보 (18) | 2023.08.23 |
| 당뇨 증상 원인 및 수치 (62) | 2023.08.19 |
| 코로나 재감염 재유행 (60) | 2023.08.18 |
| 요즘 코로나 증상 순서 (48) | 2023.08.17 |