모야모야병은 뇌의 혈관이 점차 좁아지는 질병으로, 이로 인해 뇌의 혈류가 감소하게 됩니다. 이 질환은 특히 아시아인, 특히 일본인에게서 더 흔하게 발견되지만 전 세계적으로 발생하는 경우도 있습니다..
모야모야병은 다양한 증상을 동반합니다. 지금부터 모야모야병 증상 및 모야모야병에 대해서 자세히 알아보겠습니다.

모야모야병 정의
모야모야병이란 무엇일까요?
모야모야병은 뇌의 주요 혈관들이 점차 좁아지는 질병입니다. 이로 인해, 뇌에 필요한 혈액 공급이 제대로 이루어지지 않게 됩니다. 이런 현상을 보완하기 위해 뇌 내의 작은 혈관들이 활성화되어 더 많이 형성됩니다.
이 작은 혈관들의 형태가 연기처럼 흐르는 모양을 닮아 '모야모야'라는 이름이 붙여진 것입니다. 이 이름은 일본어에서 유래하였으며 연기가 구름처럼 피어오르는 모양을 뜻하는 말에서 비롯되었습니다.

모야모야병 증상
모야모야병은 복잡한 증상을 동반하는 뇌혈관 질환입니다. 이 질환을 이해하는 것은 그 진단과 치료에 중요한 역할을 합니다. 그렇다면 어떤 증상들이 이 질환과 관련이 있을까요?

일시적 허혈 발작
일시적 허혈 발작은 모야모야병 질환에서 자주 나타나는 주요 증상 중 하나입니다.
특성과 원인
일시적 허혈 발작은 몇 분에서 몇 시간 동안 한쪽이나 양쪽의 운동 마비, 감각 이상, 언어 장애, 시야 장애 등을 동반합니다. 특히 아이들에서는 이러한 증상이 50-60%의 비율로 나타납니다.
맵거나 뜨거운 음식을 먹은 후, 격렬한 운동, 풍선 불기나 풍기 악기 연주 후에나 큰 소리로 울음을 터뜨린 후에 이러한 증상이 발생할 수 있습니다.
뇌경색
뇌허혈이 뇌경색으로 진행되면 고정된 운동 마비, 감각 장애, 언어 장애, 시야 장애 또는 의식 저하와 같은 심각한 신경학적 장애가 동반될 수 있습니다.

주요 증상
뇌경색은 모야모야병 질환을 가진 어린이의 약 40%에서 나타납니다.
특히 3세 미만의 아이들에서는 질병의 진행이 빠르기 때문에 뇌경색이 더 흔하게 발생하며, 적극적인 치료가 필요합니다.
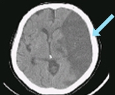
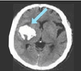
뇌출혈
뇌출혈은 성인의 65% 미만과 어린이의 5%에서 발생하며, 어린이에 비해 성인에서 더 흔합니다.

주요 원인
약한 대체 혈관의 파열, 미세동맥류 또는 기타 동반된 혈관 기형이 원인으로 여겨집니다.
어린이와 성인에서의 차이점
어린이에 비해 성인에서는 모야모야병의 진행이 느리고 상대적으로 안정적이지만, 뇌출혈이 발생하면 예후가 좋지 않을 수 있습니다.
두통
아침에 심한 두통이 발생하며, 구토와 함께 나타날 수 있습니다. 이는 일상생활을 방해할 정도로 심각합니다.
두통의 특성
휴식을 취하면 두통이 개선되는 패턴을 보입니다. 모야모야병을 가진 어린이의 약 33%가 두통을 호소합니다.

기타 증상들
발작, 자발적인 이상 움직임 및 감각 마비와 같은 일반적인 신경학적 증상도 나타날 수 있습니다.

모야모야병 원인
모야모야병의 정확한 원인은 아직 밝혀지지 않았습니다. 하지만, 일부 연구에서는 이 질환과 관련된 특정 유전자 위치에 주목하고 있습니다.
유전자 연구 결과
특히 염색체 3번, 8번, 17번에서 발견된 유전자들이 병의 원인과 관련이 있을 것으로 보고 있습니다. 하지만 특정 원인유전자를 찾지는 못하고 있으며, 최근의 연구에서는 염색체 17번의 RNF213 유전자와 관련성을 제기하였습니다.
외부적 요인
모야모야병의 원인으로 감염, 혈관염, 다운증후군, 뇌종양에 대한 방사선 치료 등 다양한 외부 요인도 제시되었습니다.

모야모야병 치료
질병을 직면할 때 우리는 어떻게 해야 할지 궁금해하곤 합니다. 특히, 뇌의 문제와 관련된 것일 경우 더욱 그렇습니다. 모야모야병도 그중 하나인데요, 이에 대한 치료법을 살펴보겠습니다.
수술적 치료
진단
모야모야병은 뇌혈관조영술로 진단되며, 자세한 뇌혈류 검사 결과에 따라 치료가 진행됩니다.
치료 목표
모야모야병의 진행을 막기 위한 약물 치료는 현재까지 없습니다. 이로 인해 수술은 유일한 선택지로 남게 됩니다. 수술의 주요 목표는 뇌 허혈을 예방하기 위해 재관류를 실시하고, 뇌혈류를 향상하며, 약한 병변혈관에 의한 출혈 위험을 줄이는 것입니다.

치료 방법과 방식
직접 재관류 수술 두피의 두피 시간 동맥과 중간 뇌동맥을 직접 연결하는 방식입니다. 수술 후 바로 혈류가 증가하는 장점이 있으나, 어린아이들에게는 혈관이 얇아 기술적인 어려움이 있을 수 있습니다.

간접 재관류 수술
뇌의 경막, 시간 근육, 중간 수막 동맥, 털의 건대 등과 같은 혈관이 풍부한 표면 조직을 뇌 표면과 접촉시켜 새로운 혈관이 뇌로 자라게 하는 방식입니다.
수술 시기와 빈도
모야모야병은 양측에서 오는 특성이 있기 때문에 수술도 두 번 실행됩니다. 증상이 나타나거나 뇌혈류가 크게 감소한 쪽에서 수술을 시작합니다.
수술 외의 의학적 치료
경련과의 관계
수술 전 뇌경색으로 인해 경련 발작이 발생할 수 있습니다. 이 경우 추가 경련을 예방하고 수술 후 안정화하기 위해 항경련제를 복용합니다.
4세 미만 모야모야병 환자, '간접문합술'이 뇌경색 위험 낮춰 ▶
수술 후 두통
두통의 원인 및 처리는 후두동맥의 침범으로 두통이 동반되는지 구별하는 것이 중요합니다. 두통은 다양한 원인으로 인해 발생할 수 있으므로 적절한 치료를 위해 신경과 전문의와 상담하는 것이 필요합니다.

모야모야병은 심각한 뇌의 질환 중 하나로, 이로 인해 다양한 신경학적 증상이 발생할 수 있습니다. 만약 자신이나 가족 중에서 이 질병의 증상을 경험한다면, 즉시 전문의의 도움을 받는 것이 중요합니다. 조기 진단과 치료를 통해 증상의 악화를 막을 수 있기 때문입니다.
자주 묻는 질문
모야모야병은 어떻게 발생하는 건가요?
모야모야병의 정확한 원인은 아직 밝혀지지 않았습니다. 그러나 유전적 요인, 환경적 요인, 특정 염증 반응 등이 관련되어 있을 것으로 생각됩니다.
이 질병은 얼마나 흔한가요?
모야모야 질병은 특히 아시아인, 특히 일본인에게서 더 흔하게 발견되지만, 전 세계적으로도 발생하는 경우가 있습니다. 그러나 전체 인구 중에서는 비교적 드문 질병입니다.
모야모야 질병을 진단받았을 때 어떤 치료를 받아야 하나요?
진단을 받은 후에는 전문의와 상의하여 개별적인 치료 계획을 세워야 합니다. 치료는 수술, 약물 치료, 생활 습관 개선 등 다양한 방법이 있습니다.
모야모야병 환자 ‘이것’ 복용하면 뇌혈관 질환· 사망 26% 감소 ▶
이 질병은 어린이에게도 발생하나요?
네, 모야모야 질병은 어린이에게도 발생할 수 있습니다. 특히 어린이에서는 빠른 진행성을 보일 수 있어, 조기 진단과 치료가 중요합니다.
모야모야 질병 환자는 어떤 생활 주의사항을 지켜야 하나요?
강한 스트레스나 물리적 활동을 피하는 것이 좋습니다. 또한, 규칙적인 생활 습관을 유지하고, 건강한 식생활과 적절한 운동을 통해 일반 건강 상태를 유지하는 것이 중요합니다.
'건강' 카테고리의 다른 글
| 트루 포뮬러 칸톱 밀크씨슬 효능 및 가격 (2) | 2023.08.30 |
|---|---|
| 고혈압 낮추는 법 및 치료 (43) | 2023.08.23 |
| 폐렴 증상 치료 및 초기 증상 (50) | 2023.08.21 |
| 당뇨 증상 원인 및 수치 (62) | 2023.08.19 |
| 코로나 재감염 재유행 (60) | 2023.08.18 |